הטיפול במיאלומה
פרק זה כולל מידע רחב בהקשר לאבחון וטיפול במיאלומה: איך מאבחנים?, אילו בדיקות נערכות לצורך אבחון? איך מחליטים אם לטפל ועל תכנית הטיפול? כן תמצאו מידע על הטיפול במילאומה, על התרופות והטיפולים בסל הבריאות. מה זאת השתלת מח עצם (השתלה) ולמה היא טובה? מה קורה אם המחלה חוזרת לאחר הטיפול הראשוני, מה זה טיפול תחזוקה? מה קורה בתקופת ההפוגה?
בנוסף תוכלו לקבל מידע מפי חברים ותיקים על זכויות, עצות וכללי התנהגות בפרק תקופת הטיפולים במדריך לחיים במדריך לחיים עם מיאלומה או טלפונית בפניה לקו החם של אמ”ן 052-2262326.
בדיקות לאבחון המחלה ולמעקב
לפני ההחלטה על הטיפול במחלה נערך תהליך של אבחון כדי להתאים את הטיפול לכל מטופל בהתאם למצבו ולצרכים שלו. אבחון המיאלומה מתבסס על בדיקות מעבדה והדמיה שונות, שנועדו לזהות את תאי המיאלומה ותכונותיהם, למדוד את החלבון המופרש על ידי תאי המחלה לדם ולשתן, ולזהות פגיעות במערכות הגוף השונות, הנגרמות כתוצאה מהמחלה.
בפרק זה נפרט את סוגי הבדיקות המשמשות אותנו בשלבי האבחון והטיפול במיאלומה.
| אם אתם, כמו רבים מאיתנו, נוהגים לעקוב אחר תוצאות בדיקות המעבדה שלכם ולעיתים נבהלים מחריגה בבדיקה כזאת או אחרת, זכרו שהגוף שלנו אינו מחשב, ישנן תנודות קטנות בבדיקות שאינן מצביעות בהכרח על התלקחות המיאלומה. חשוב לנתח את הממצאים בהקשר רחב ולאורך זמן על מנת להסיק מסקנות. וכמו ש”הצלצול הוא בשביל המורה” כך גם הבדיקות הן כלי עזר בידי הרופא לצורך אבחון המיאלומה ולקבלת החלטות טיפוליות. |
בדיקות לזיהוי הנוגדן החד-שבטי – תוצר תאי המיאלומה
קיימות מספר בדיקות המשמשות לגילוי רמות הנוגדנים בעת האבחנה ולמעקב אחר הרמה שלהם בדם ובשתן במהלך
• בדיקות אלקטרופורזיס של חלבוני הנסיוב (serum protein electrophoresis) – שבהן מפרידים מולקולות לפי גודלן והמטען החשמלי שלהן. בדיקה זו מאפשרת מעקב כמותי על החלבון החד שבטי. לא ניתן לזהות באמצעותה את סוג הנוגדן.
• בדיקת אימונופיקסציה (immunofixation) המאפשרת לזהות את סוג הנוגדן (למשל: IgG-Kappa או IgA-Lambda). זוהי בדיקה רגישה המשמשת גם לזיהוי עקבות מחלה בכמות מזערית אחרי טיפול.
• בדיקת נוגדנים כמותית (quantitative immunoglobulins) – מזהה את סה”כ הנוגדנים: גם תקינים וגם חד שבטיים.
• בדיקות שרשראות קלות בדם (free light chains)
• בדיקות חלבון חד שבטי בשתן (Urine protein electrophoresis, Bence Johns) – אצל חלק מהמטופלים השרשרות הקלות מגיעות לשתן וניתן לזהותן באמצעות איסוף שתן במשך 24 שעות.
כפי שהוסבר, ישנם חולים שהפרשת הנוגדן אצלם הינה בעיקר נוגדן שלם (שרשראות כבדות + קלות), אצל אחרים רוב החלבון המופרש, או אפילו כולו, הינו שרשראות קלות בלבד.
סוג השרשראות נשאר קבוע אצל כל מטופל לעומת זאת, כמות הנוגדן משתנה ומשמשת אינדיקציה לכמות המחלה בגוף – כשיש יותר מחלה, מוצאים יותר נוגדן.
בעקבות הטיפול במחלה אנחנו מצפים לראות ירידה ברמת הנוגדנים אשר מעידה על הרס תאי המיאלומה ומשמעה שהגוף מגיב היטב לטיפול.
בדיקות אלה מיועדות לקבוע את כמות הנוגדן החד שבטי בגוף גם בעת האבחון הראשוני וגם בעקבות הטיפול. הרופא יבחר לכל מטופל את הבדיקות המתאימות לו ואת תדירות המעקב בהתאם למאפייני המחלה שלו.
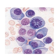
בדיקת מח עצם
בבדיקת מח העצם נשאבת דגימה מנוזל מח העצם (אספירציה) או נלקחת דגימת רקמה ממח העצם (ביופסיה) כדי לדגום את המחלה ולבדוק את כמות תאי המיאלומה וכן כדי ללמוד על התכונות הגנטיות שלהם וגם על הרזרבות של מח העצם התקין.
הבדיקה נעשית תחת אלחוש מקומי, ע”י החדרת מחט לעצם האגן. דוגמא קטנה ממח העצם נלקחת לבדיקה במעבדה.
הדגימה מועברת לבדיקת מיקרוסקופ המאפשרת זיהוי של סוגי התאים השונים.
לתאי הפלסמה התקינים ולתאי המיאלומה ישנה צורה (מורפולוגיה) אופיינית המבדילה אותם בבירור משאר סוגי התאים הנמצאים במח העצם. משום כך, בבדיקה תחת מיקרוספקופ, ניתן להעריך את כמותם בספירה פשוטה. לעיתים מלווה העלייה במספרם של תאי הפלסמה במיאלומה בשינויים צורניים בתאים. בדיקה זאת מאשרת את אבחנת המיאלומה.
לפרטים נוספים על בדיקת מח עצם ועל חשיבותה ראו מאמר מאת ד”ר בנצי כץ .
תמונה מס’ 3: מח עצם אופייני למיאלומה נפוצה 
בדיקת (FISH (Fluorescence In Situ Hybridization
מלמדת על התכונות הגנטיות של תאי המיאלומה. ניתן לזהות באמצעותה שינויים ברמת הכרומוזומים (שברים, חוסרים או שחלופים) המנבאים את התנהגותה העתידית של המחלה ועשויים לכוון את הטיפול. ישנם שינויים הקשורים לסיכון מוגבר לחזרה של המחלה ובמקרים אלו חשוב להגיב בהתאם בתכנון הטיפול. נזכיר שני שינויים אשר אליהם מתייחסים במיאלומה גם בסל הבריאות: חוסר 17p וכן טרנסלוקציה 4:14. שינויים נוספים שנמצאו כמנבאים חזרה מהירה יותר כוללים שכפול של כרומוזום 1q21, וכן טרנסלוקציה 14:16.
בדיקת (FACS (Fluorescence Activated Cell Sorting
משמשת לאיתור סמנים על פני תאי המיאלומה אשר עשויים לסייע בקביעת שארית מחלה מינימלית לאחר הטיפול.
בדיקות מעבדה כלליות
בדיקות כלליות חשובות לגילוי הפרעות שהמיאלומה יוצרת במערכות הגוף השונות וסיבוכים אפשריים של הטיפול. בדיקות אלה כוללות ספירת דם (למעקב אחר ייצור כדוריות אדומות, רמת המוגלובין ומרכיבי דם נוספים), בדיקה כימית של הדם (למעקב אחרי תפקודי הכליה, רמות הסידן) וכן בדיקות שתן (דליפת חלבון לשתן מרמזת על פגיעה בכליה).
ספירת הדם
באמצעות ספירת דם בודקים אם יש פגיעה בייצור תאי הדם לסוגיהם, דבר המתבטא בערכי ספירת הדם כמפורט להלן:
RBC – ירידה בכמות תאי הדם האדומים מתחת לרמות הנורמה עקב פגיעת תאי המיאלומה במח העצם (אנמיה).
HGB – ירידה בריכוז ההמוגלובין בדם מתחת לרמות הנורמה עקב הפגיעה בייצור תאי הדם האדומים (אנמיה).
WBC – ירידה במספר תאי הדם הלבנים מתחת לרמות הנורמה עקב פגיעת תאי המיאלומה בייצור סוגי התאים הללו במח העצם (לויקופניה).
PLT – ירידה בכמות הטסיות בדם מתחת לרמות הנורמה עקב פגיעת תאי המיאלומה במח העצם שם מצויים התאים יוצרי הטסיות (טרומבוציטופניה) או עקב טיפול תרופתי.
Neut – ירידה במספרים האבסולוטיים של תאי הדם הלבנים מסוג נויטרופילים עקב הפגיעה של תאי המיאלומה ברקמת מח העצם או עקב טיפול, מעלה סיכון לזיהומים חיידקיים (נויטרופניה).
כימיה
Creatinine קראטינין – מולקולה הנמצאת ברמות גבוהות בדם כאשר יש נזק לכליות. שרשראות הנוגדן המופרשות מתאי המיאלומה עלולות לשקוע בכליות ולגרום לפגיעה במערכת הסינון. כתוצאה מכך עולה רמת ה- creatinine בדם.
Calcium (סידן) – הסידן מהווה מרכיב חשוב ביותר במבנה העצמות. תאי המיאלומה עלולים לגרום לפירוק של העצם. תהליך זה גורם להופעת נגעים ליטיים או אוסטאופורוזיס מחד, ומאידך לעליה בריכוז הסידן בדם.
Beta 2 Microglobulin / b2M – חלבון קטן הנמצא בדם. תאי מיאלומה מפרישים אותו ולכן רמתו גבוהה כשהמחלה פעילה. נחשב לסמן רגיש יחסית ומשמש באבחון, סיווג ובמעקב אחר חולי מיאלומה.
BUN / Blood Urea Nitrogen – מדד לאוריאה בדם. אוריאה מסולקת מהדם באופן נורמאלי על ידי הכליות. פגיעה בתפקודי הכליות בחולה מיאלומה (כמפורט לעיל) תגרום לעליה בערכי BUN.
LDH / Lactate dehydrogenase – אנזים המצוי בדם. משוחרר מתאים שונים בעת פירוקם. רמתו עשויה לעלות עם התקדמות המיאלומה.
בנוסף בדיקה של רמות החלבון הכללי בדם (total protein) ידגימו אם יש ירידה של האלבומין או עליה של הגלובולין.
בדיקות הדמיה
בדיקות ההדמיה נועדו לזהות פגיעה של המיאלומה בעצמות ולעיתים אף פגיעה ברקמות אחרות.
בדיקת CT – Low Dose Total Body
בעבר אובחנה פגיעה בעצמות באמצעות “סקירת שלד” שכללה סידרת צילומים של עצמות שונות בגוף. בשנים האחרונות הוחלפה בדיקה זו בבדיקת CT של כל השלד, אשר נותנת תמונה מדויקת יותר.
הבדיקה מבוצעת עם מינון קרינה נמוך וללא חומר ניגודי.
הבדיקה חשובה בעת אבחון המחלה וכן בחשד להישנות שלה ולפגיעות נוספות אולם אינה מהווה מדד לאיכות התגובה לטיפול, היות שתהליך ריפוי העצמות נמשך זמן רב ולכן לא בהכרח יבוא לידי ביטוי בבדיקה זו.
בדיקת PETCT
כוללת שילוב של CT עם סוכר המסומן עם חומר רדיואקטיבי (FDG) המצביע על פעילות של המיאלומה. בדיקה זו יעילה לזיהוי התגובה לטיפול וכן לאיתור מוקדי מחלה מחוץ לעצמות.
בדיקת MRI
חשובה במיוחד במקרה שבו יש חשד ללחץ על עצבים במיוחד של חוט השידרה, הנגרם כתוצאה ממוקדי מחלה בעמוד השדרה.
הטיפול במיאלומה נפוצה: קו ראשון
ההחלטה לגבי טיפול היא ההחלטה הראשונה החשובה ביותר.
עם אבחון המחלה נערכות בדיקות לקביעת דרגת המחלה וחומרתה ובהתאם מתקבלות החלטות טיפוליות. ההחלטה על הצורך בטיפול קשורה, כאמור, באבחנה של מיאלומה “פעילה” בהתאם לקריטריונים שתוארו בפרק “מתי צריך לטפל?“.
| חשוב לברר עם ההמטולוג המטפל מה רמת הדחיפות להתחלת הטיפול. לעיתים לא ניתן ואף אסור לעכב את הטיפול הדחוף, בפרט אם נדרשת התערבות ניתוחית, קרינה מקומית או התערבות מיידית אחרת. |
לאחר שהוחלט כי יש לטפל, עומדת השאלה של בחירת הטיפול המתאים ביותר.
כפי שהדגשנו, מופע המיאלומה שונה במידה רבה מחולה לחולה וההחלטה לגבי הטיפול משתנה בהתאם.
שיקולים בבחירת הטיפול הראשון
כפי שצוין בפתח הדברים, המיאלומה הפכה בשנים האחרונות למחלה ממארת בעלת אופי כרוני ולכן תוכנית הטיפול כוללת התייחסות ותכנון של הטיפולים האפשריים בעת הישנות עתידית של מחלה.
| במידה ומתעוררות שאלות או ספקות, חשוב לדבר עליהן עם ההמטולוג המטפל או / וגם לפנות להתייעצות נוספת במסגרת חוות דעת שנייה. תכנית טיפולית מתמשכת, עליה הוסכם יחד עם הרופא המטפל היא בעלת חשיבות רבה. |
חלק מחולי המיאלומה מסווגים, במהלך האבחון, כבעלי ‘סיכון מוגבר’ להישנות המחלה, כלומר, שלמחלתם יש נטייה לחזור מוקדם, בהשוואה לחולים בעלי ‘סיכון רגיל’ (= ‘סיכון סטנדרטי’).
איננו יכולים לדעת בביטחון מי החולים שמחלתם תישנה מוקדם, אך בעת נוכחות של ‘גורמי סיכון’, אנו יוצאים מנקודת הנחה שהסיכון גבוה יותר להישנות מוקדמת.
גורמי הסיכון שנכללו בהגדרת סל הבריאות כוללים:
• שינויים בכרומוזומים של תאי המיאלומה, כפי שמתגלה בבדיקת FISH (נכללו: חוסר 17p וכן טרנסלוקציה 4:14).
• מדד שנקרא – סולם ה- rISS , המחושב על פי מספר בדיקות מעבדה (אלבומין, בטא-2-מיקרוגלובולין ו- LDH) ביחד עם מדדים מבדיקת ה- FISH.
• גם חולים שאצלם התפתחו פלסמציטומות שיצאו מגבולות מח העצם למשל ברקמות הרכות או בכבד מחלה אקסטרמדולרית, נחשבים בעלי סיכון גבוה.
גורם סיכון נוסף אשר רלבנטי להמשך הטיפול ולא לטיפול הראשון: חולים עם הישנות מהירה של המחלה (כשהמחלה חוזרת תוך 12 חודשים מהטיפול הראשוני) או עם עמידות (העדר תגובה) לטיפול הראשוני מסווגים כבעלי סיכון מוגבר.
הבנת דרגת הסיכון מסייעת לרופא המטפל לכוון את הטיפול. אמנם הטיפול הראשוני דומה אצל רוב המטופלים, אך הגישה לגבי משך הטיפול, טיפול תחזוקה וחשיבות ההשתלה, עשויה להשתנות בהתאם לדרגת הסיכון.
שיקולים נוספים העומדים לנגד עיניו של הרופא בבחירת הטיפול כוללים את מאפייני המחלה הספציפית של המטופל לרבות קצב התקדמות המחלה, חומרת הפגיעה באברי המטרה, גילו, מצבו הכללי של המטופל ומחלות נוספות מהן המטופל סובל וכמובן זמינותן של התרופות בסל הבריאות, לקו הטיפול המתאים.
בשעה שהטיפולים בעבר נשענו על תרופות כימותרפיות וסטרואידים בלבד, הרי שהטיפולים הניתנים כיום הינם טיפולים “חכמים” יותר, הפוגעים בצורה סלקטיבית יחסית בתאי המחלה, ולעיתים קרובות ניתנים במשולב עם מינונים נמוכים של סטרואידים וכימותרפיה – שילובים ששיפרו את משך ההפוגה ואת תוחלת החיים של חולי מיאלומה.
טיפול הכולל “השתלה עצמית”
במטופלים שגילם נמוך מ-65-70 שנים, ללא מחלות משמעותיות נוספות, המטרה הטיפולית בקו הראשון הינה להפחית משמעותית את כמות תאי המחלה באמצעות טיפול הניתן במספר שלבים.
בשלב הראשון שנקרא “אינדוקציה” (Induction), הטיפול כולל תרופות מהדור החדש הניתנות בשילוב עם כימוטרפיה במינון נמוך יחסית וסטרואידים. הרופא בוחר את המשלב המתאים ביותר לכל מטופל.
על פי רוב ינתן וולקייד (בורטזומיב), במשולב עם כימותרפיה וסטרואידים, או וולקייד במשולב עם תלידומיד וסטרואידים. לחלופין, ניתן להתחיל בטיפול הכולל רבלימיד (לנלידומיד) וסטרואידים, אולם טיפול זה אינו נכלל בסל התרופות, נכון לשנת 2017 .
(הטבלה המצורפת בהמשך מפרטת את התרופות השונות הנהוגות וכן את מעמדן בסל הבריאות).
שלב שני: “השתלה עצמית”
לאחר השגת תגובה לטיפול (על פי רוב, לאחר 4-6 מחזורי טיפול), החולה מופנה לטיפול כימותרפי אינטנסיבי (במינון גבוה) אשר נועד להוריד את מסת המחלה למינימום.
אחת התרופות הוותיקות בטיפול במיאלומה בשלב זה היא מלפלן. זו תרופה שהורסת את תאי המיאלומה בצורה יעילה ביותר.
תופעת לוואי לשימוש בכימותרפיה במינון גבוה היא הרס של תאי האב במח העצם. כדי להתגבר על תופעת הרס תאי מח העצם בשלב הטיפול הכימותרפי האינטנסיבי, עורכים, בתום שלב האינדוקציה, איסוף של תאי האב ממח העצם של המטופל ושומרים אותם. רק לאחר האיסוף מתחילים בטיפול הכימותרפי האינטנסיבי.
עם סיום הטיפול, מחזירים את תאי האב באמצעות עירוי, תאי האב נודדים למח העצם ומשחזרים שם את הפעילות התקינה שלו – כלומר – משקמים את מח העצם שנהרס. תהליך זה קרוי ”השתלה עצמית“ או ”השתלת מח עצם עצמית“ וזה השלב השני בטיפול בקו הראשון.
טיפול זה נועד להפחית את מסת המחלה עוד יותר, בתקווה שמערכת החיסון של המטופל תצליח להאט את קצב התרבותם של התאים שנותרו (ראה הרחבה במסגרת ”השתלת מח עצם עצמית“).
בעבר, רק אנשים שגילם מתחת ל- 65 עברו את התהליך הזה. היום התהליך נחשב בטוח בצורה משמעותית גם לגילאים בוגרים יותר והרופאים מאמינים שעם מערכות התמיכה הנכונות, ניתן לבצע הליך זה בצורה בטוחה, תוך הגבלת תופעות הלוואי והארכה משמעותית של החיים.
כמה מילים על השתלה עצמית (השתלת מח עצם עצמית) ועל “איסוף תאי אב”כאמור, השתלת מח עצם עצמית הינה עוד חוליה בשרשרת הטיפולים בחולי מיאלומה, שמטרתם להפחית במידת האפשר את היקף המחלה. |
במטופלים מסוימים, בעיקר כאלו בסיכון גבוה, ובהתאמה למצב כללי ותופעות לוואי, ניתן לבצע השתלה כפולה Tandem – כלומר, השתלה חוזרת בתוך 3-6 חודשים מהקודמת. יש לציין כי קיימות גישות שונות ואין הסכמה בעולם באשר לנחיצות ההשתלה השנייה.
מאחר ובמרבית החולים נעשה איסוף בכמות כפולה של תאי אב, אין מגבלה לבצע השתלה חוזרת.
ההכנות להשתלה עצמיתהשתלה עצמית הינה פרוצדורה רפואית שגרתית ובטוחה ביותר, עם זאת זהו תהליך תובעני המחייב התארגנות מיוחדת של המטופל ושל סביבתו הקרובה. |
מחזורי טיפול נוספים בהמשך להשתלה (מיצוק = קונסולדציה, תחזוקה) – לאחר ההשתלה מקובל למצק (לחזק) את התגובה שהושגה באמצעות מתן מספר מחזורי טיפול, הדומה על פי רוב לזה שניתן בשלב האינדוקציה, וזאת במטרה “לנקות” שאריות תאים חולים שנותרו לאחר ההשתלה. בחלק מן המקרים, בפרט בחולים בהם הושגה תגובה חלקית, ובאלו אשר מחלתם מאופיינת כמחלה בסיכון גבוה, מומלץ להמשיך בטיפול תחזוקה לתקופה ארוכה יותר, לרוב שנתיים או יותר.
טיפול ללא השתלה
מטופלים אשר צפויים לפתח תופעות לוואי משמעותיות כתוצאה מהטיפול הכימותרפי האינטנסיבי לא יופנו למסלול של “השתלה עצמית” אלא לטיפול תרופתי. גם מטופלים אלה נהנים מטיפולים “חכמים”, אשר פוגעים בצורה סלקטיבית יחסית בתאי המחלה. מומלץ לטפל למשך כ- 9-12 מחזורי טיפול (כשכל מחזור טיפול אורך כחודש), באמצעות משלב תרופות הכולל וולקייד וסטרואידים, יתכן בשילוב עם ציטוקסן או מלפאלן, או לחילופין באמצעות רבלימיד וסטרואידים.
לאחר הטיפול הראשוני ניתן לשקול המשך טיפול תחזוקתי בהתאם לתגובה שהושגה לטיפול (כמה מהמיאלומה סולקה) ובהתאם לסבילות הטיפול.
טיפולים נוספים
טיפול למניעת המשך הפגיעה בעצמות
אצל חלק ניכר מהמטופלים, תאי המיאלומה גורמים פגיעה בעצמות השלד (פגיעה גרמית).
למטופלים אלו הטיפול כולל גם תרופות למניעת המשך הפגיעה הגרמית (הפגיעה בעצמות) אשר נגרמת על ידי תאי המיאלומה. הטיפול כולל תרופה (ממשפחת הביספוספונטים): ארדיה או זומרה, אשר ניתנת בעירוי לווריד, וכן ויטמין D.
טיפול בקרינה
במקרה של פגיעה בעצמות, לעיתים נדרש גם טיפול בקרינה המביא לעצירה מקומית מהירה של המחלה ולנסיגה לאחור באזור שהוקרן וגם מקל על כאבי העצמות.
בפלסמציטומה יחידה נהוג לטפל באמצעות קרינה לאזור בו נמצא גוש תאי הפלסמה. בחלק גדול מהמקרים הקרינה מרפאה את המחלה.
בפלסמציטומה מרובה בדרך כלל הטיפול יהיה זהה לטיפול במיאלומה ולעיתים תתווסף גם קרינה.
תקופת ההפוגה
חלק גדול מהמטופלים משיגים תגובה טובה לטיפול, מצב זה נקרא “הפוגה” המחלה פוחתת לרמות נמוכות ולעיתים אף כאלו שאינן מדידות. למרות זאת, בדרך כלל המחלה אינה נכחדת לגמרי ולאחר תקופה מסוימת נוטה לחזור.
כיום מצטברות עדויות המצביעות על כך כי טיפול מתמשך (“אחזקתי”) יכול להאריך את משך ההפוגה ולדחות את מועד הישנות המחלה. יחד עם זאת, גם לטיפול מתמשך ישנן השלכות מבחינת תופעות הלוואי ואיכות חיים, זהו נושא שכדאי לדון עליו פרנטית עם הרופא המטפל.
בכל מקרה, ההמלצה היא על מעקב מתמשך אחר מטופלים שנכנסו להפוגה וביצוע בדיקות תקופתיות כדי שניתן יהיה לזהות סימנים ראשונים להישנות עוד טרם התפתחות נזקים לאברי מטרה, ולחדש טיפול שימנע נזקים שכאלו. הישנות המחלה מתבטאת לרוב לראשונה בעליה במדדי המחלה דבר שנבדק ומזוהה באמצעות בדיקות (ברמת החלבונים).
טיפול בהישנות המחלה
ישנם מטופלים שמחלתם אינה מגיבה לטיפול בקו ראשון במידה מספקת או שהיא נשנית (חוזרת) לאחר תקופת הפוגה. בדומה למצב של מיאלומה רדומה – גם בהישנות אין חובה לטפל מיידית אם ישנה עליה איטית של המדדים (מה שנקרא ”הישנות ביוכימית“), אך כאשר ההתקדמות מואצת ו/או קיימת פגיעה או חשש לפגיעה באברי מטרה, יש לחדש את הטיפול.
כיום ישנן אפשרויות מגוונות לטיפול בהישנות וקבלת ההחלטה מותאמת לכל חולה. השיקולים מתבססים על התגובה לטיפול הקודם, משך הזמן שעבר מאז הטיפול הקודם, מאפייני ההישנות (מהירה או מתונה), פרופיל תופעות הלוואי האפשריות לעומת מחלות הרקע והמצב התפקודי, וגם שיקולי נוחות נטילת הטיפול.
כמובן שבחירת הטיפול מותנית גם בזמינות מבחינת כיסוי סל הבריאות.
בעת חזרה ראשונה (טיפול קו שני), אם עבר הרבה זמן מאז הטיפול הראשון, ניתן להשתמש באותו הפרוטוקול ואף לבצע תהליך של כימוטרפיה אינטנסיבית והשתלה עצמית פעם נוספת. טיפול קו שני לרוב יימשך לאורך זמן.
טיפול בקו שני על בסיס רבלימיד ניתן לתת על פי סל התרופות לחולים בסיכון גבוה (כמוגדר למעלה: גורמי סיכון שנכללו בהגדרת סל הבריאות) בתשלובת עם איקסזומיב \ קרפילזומיב \ אלוטוזומאב.
בקווים מתקדמים יותר יעשה שימוש חוזר בתרופות שהועילו בעבר, אם עבר זמן רב מאז נעשה בהן שימוש, או בתרופות מתקדמות יותר מדור חדש.
כאמור, כמעט תמיד נעשה שימוש בשילוב של מספר תרופות מקבוצות שונות (פרוטוקול). כל פרוטוקול בנוי ממחזורים של טיפול (מספר תרופות למספר פעמים בשבוע) וכל מחזור ניתן מספר פעמים (לפעמים ללא הפסקה).
במקרים חריגים, יומלץ על השתלת מח עצם מתורם (השתלה אלוגנית) לצורך מיצוק וחיזוק השפעת הטיפול הכימותרפי וכדי לאפשר לגוף להחלים במהירות רבה יותר.
תאי מח עצם אלו מהווים מקור מח עצם בריא עם מערכת חיסונית שונה, שיכולה לתקוף את המיאלומה. התורמים הטובים ביותר הם לרוב אח או אחות עם מח עצם בעל התאמה טובה. במקרים שבהם יש התאמה טובה של תאי הדם הלבנים, ניתן להשתיל תאי מח עצם של אדם שאינו קרוב משפחה.
כאשר מטופל מקבל תאי גזע או מח עצם מתורם, עשויים תאים אלו להתקיף את תאי הסרטן, אך במקביל, עלולים ליצור תגובה נגדית הנקראת “מחלת השתל כנגד המאחסן”. השתלה מתורם הינה הליך קשה ומסובך.
התרופות החדשות שעומדות לרשותנו
הצורך במציאת טיפול יעיל יותר לחולים שמחלתם חזרה (ופיתחה עמידות לטיפולים הקיימים), הביא לפיתוח של טיפולים חדישים. לשמחתנו, בשנים האחרונות נכנסו לשימוש מספר תרופות חדשות, שאף הוכללו בסל התרופות בישראל.
בהמשך פרק זה נפרט על התרופות המתקדמות הנהוגות במיאלומה.
התרופות מוכוונות המטרה העיקריות הנמצאות בשימוש במיאלומה כוללות תרופות משלוש משפחות:
• מעכבי פרוטאוזום
• תרופות אימונו-מודולטוריות (אימידים)
• נוגדנים ספציפיים (תרופות “ביולוגיות”)
| מה זה פרוטאוזום? מעכבי פרוטאוזום? תרופה אימונו- מודולטורית? תרופה מכוונת מטרה?
תרופה מכוונת מטרה – תרופות מסוג חדש הפועלות באופן ממוקד על מנגנון מסוים בתאי הפלסמה הסרטניים ומונעות מהם לגדול ולהתרבות. מכיוון שתרופות אלה פועלות על השינויים הגנטיים שקרו בתאי המיאלומה הן גורמות פחות נזק לתאים הבריאים. פרוטאוזום – פרוטאוזום הוא קומפלקס של אנזימים הממלאים תפקיד חשוב בתפקוד ובגדילה של התא. הפרוטאוזומים מפרקים ומפנים חלבונים המסייעים לגדילה ולהתחלקות של התא וכך מווסתים את הרמה שלהם. תא המיאלומה זקוק מאד לפעילות תקינה של הפרוטאוזומים ותלוי בהם ולכן כשמכבים את פעילות הפרוטאוזום פוגעים באופן ספיציפי בתאי מיאלומה. מעכב פרוטאוזום – חסימה של פעילות הפירוק שנעשית על ידי הפרוטאוזום. הישרדותם של סוגים מסוימים של תאי סרטן תלויה בתפקוד הפרוטאוזומים וחסימה שלהם גורמת לתהליך של הרס עצמי של תאי המיאלומה. תרופה אימונו-מודולטורית – תרופה הפועלת על מערכת החיסון. |
למעכב הפרוטאוזום הראשון, ולקייד (Velcade) נוספה בשנת 2015 תרופה נוספת – קיפרוליס (Kyprolis). תרופה זו ניתנת בעירוי תוך ורידי והיא נמצאה יעילה גם בקרב מטופלים שפיתחו עמידות לוולקייד. יתרון נוסף של התרופה הינו שיעור נמוך יותר של נוירופתיה (פגיעה עצבית הגורמת לנימול וכאבים בעיקר ברגליים), ביחס לוולקייד.
תרופה נוספת מאותה משפחה, שאושרה בנובמבר 2015 על ידי ה-FDA לשימוש בארה”ב הינה הנינלרו (Ixazomib). הייחוד של מעכב פרוטאוזום מתקדם זה הינו מתן דרך הפה, להבדיל מהדורות הקודמים שניתנו בזריקה, כך שניתן ליטול את התרופה בבית. גם כאן צפויים פחות סיבוכים מסוג נוירופתיה. התרופה רשומה גם בארץ וכלולה בסל לקו שני לחולים בסיכון גבוה.
למשפחת ה”אימידים” (תרופות האימונומודולטוריות – תלידומיד, רבלימיד) נוספה נציגה חדשה: אימנוביד (pomalidomide). גם תרופה זו, הניתנת כקפסולה דרך הפה, נמצאה יעילה בקרב מטופלים שמחלתם עמידה לתרופות הקודמות, ובדומה לקיפרוליס.
התרופות הביולוגיות החדשות: בשנת 2015 אישר ה- FDA עוד שתי תרופות ממשפחה חדשה של תרופות ביולוגיות אשר מצטרפות לתרופות מהמשפחות הנוספות. מדובר בנוגדנים כנגד סמנים (חלבונים ייחודיים) על פני תא המיאלומה, הנקשרים לתא הסרטני וגורמים להרג ישיר שלו, או רותמים את מערכת החיסון של המטופל עצמו לביצוע המשימה. תרופות אלה מיועדות לטיפול במיאלומה נשנית (חוזרת).
התרופה הביולוגית דרזלקס (דארטומומב, Daratumumab) הדגימה יעילות כנגד מיאלומה נשנית ומתקדמת, הן כתרופה בודדת והן בשילוב עם תרופות אחרות, תרופה זו נקשרת לסמן CD38 הנמצא על פני תאי המיאלומה ומעודדת את מערכת החיסון של המטופל לזהות ולהרוס את תאי המיאלומה.
נוגדן נוסף שאושר לשימוש הינו אלוטוזומאב (Empliciti, Elotuzumab), שניתן בתוספת לתרופות מוכרות למיאלומה. מדובר בנוגדן כנגד סמן נוסף על פני תאי המיאלומה (SLAMF7, CS1). נמצא כי טיפול משולב של אלוטוזומאב ביחד עם רבלימיד וסטרואידים, משפר את יעילות הטיפול, מפחית את התקדמות המחלה ומשפר את תוחלת החיים של מטופלים עם מיאלומה נשנית.
כמובן שלצד התועלת, לכל תרופה יתכנו גם תופעות לוואי ולכן דרוש מעקב רפואי קפדני והתאמת התרופות באופן פרטני למטופל.
כל התרופות החדשות המוצגות כאן אושרו במסגרת סל הבריאות בהתוויות שונות (קווי טיפול, מצבים, דרגות סיכון) – ראו פירוט בטבלאות שבהמשך.
מה ניתן לעשות בנוסף?
קצב התקדמות המחקר במיאלומה מואץ, ולעיתים נוצר פער בין המידע המדעי המצטבר לזמינות תכשירים חדישים בסל הבריאות. יחד עם זאת, בזכות שיתוף הפעולה בין האיגוד ההמטולוגי ועמותת אמ”ן, ובזכות המחקר האינטנסיבי שמבוצע בכל רגע נתון, תמיד יש אופק לטיפולים חדשים ולתרופות חדשות. כמעט מדי שנה נכנסות תרופות חדשות לסל הבריאות, וכך גם תרופות קיימות שמאושרות לקווי טיפול מוקדמים יותר. כך שגם כאשר נדמה כי אין עוד טיפול רלוונטי, ברבים מהמקרים בתוך חודש ספורים תמונת המצב יכולה להשתנות.
חלופה אפשרית נוספת בחלק מהמקרים היא השתתפות במחקר קליני המאפשרת גישה לטיפולים חדישים שטרם אושרו לשימוש. במידת הצורך ניתן להתייעץ עם הרופא המטפל על זמינות של מחקר קליני מתאים, על הסיכויים והסיכונים הכרוכים בהשתתפות בו.
| מחקרים קליניים: משמשים לבחינת יעילותם ובטיחותם של תרופות ומשלבים חדשים. במרכזים הרפואיים בישראל מתבצעים מחקרים קליניים רבים במיאלומה, לרוב מדובר במחקרים בינלאומיים. המחקרים נמצאים בבקרה הדוקה של ועדות האתיקה המוסדיות בכל בית חולים, של משרד הבריאות ולרוב גם של רשויות רגולטוריות בינלאומיות (כמו FDA). הבקרה נועדה להבטיח את שלום המטופלים המשתתפים במחקרים. |
תרופות לטיפול במיאלומה
בטבלה הבאה מוצגות התרופות הנהוגות לשימוש במיאלומה, במצבים שונים ובמשלבים שונים אשר מותאמים לכל חולה על ידי הרופא המטפל. כל אחת מהן יכולה להינתן כתרופה יחידה או במסגרת שילוב של מספר תרופות.
|
תרופות בשימוש במיאלומה |
מאפיינים |
תופעות לוואי וסיבוכים אפשריים |
תרופות שאינן כימותרפיות |
||
| סטרואידים:
דקסה – Dexamethasone, פרדניזון – prednison |
Dexamethasone כטיפול יחיד מייצר תגובה משמעותית גם בהשוואה לשיעורי התגובה במתן כימותרפיה. לרוב ניתן בתשלובת.
פרדניזון מאופיין בתופעות לוואי מופחתות ביחס לדקסה, אך פחות פעיל. |
השמנה, צבירת נוזלים, אוסטיאופורוזיס, חולשת שרירים, החמרת סכרת ויתר לחץ דם בעקבות מתן ממושך ואינטנסיבי. הפרעה בשינה ביום המתן. |
| תלידומיד (Thalidomide) | תרופה מוכוונת (targeted) – ניתנת דרך הפה. השילוב עם וולקייד וסטרואידים משיג תגובה אצל 85% מהמטופלים ומאפשר איסוף תאי אב. |
נוירופתיה (פגיעה בעצבים) משנית לתלידומיד. עלול לגרום לפקקת בוורידים העמוקים (DVT) (נדרש טיפול מונע)עצירותעייפות |
| וולקייד (Bortezomib (Velcade |
שיעורי תגובה טובים מאוד (80%-85% בקו ראשון בשילוב עם תלידומיד או אנדוקסן) תרופה מכוונת מאפשרת איסוף תאי אב להשתלה. |
עלול לגרום לפגיעה עצבית (נוירופתיה), על פי רוב הפיכה עם הפסקת הטיפול.
עלול לגרום להתלקחות זיהומי הרפס. |
| רבלימיד Lenalidomide), Revlimid) |
תרופה מכוונת שיעורי תגובה גבוהים יותר מאשר תלידומיד. |
עלול לגרום לפקקת בוורידים העמוקים (DVT) (נדרש טיפול מונע) מתן ממושך עשוי לפגוע ביכולת לאסוף תאי אב.ירידה בספירות הדםעייפות |
| קרפילזומיב (Kyprolis ,Carfilzomib) |
– תרופה מכוונת בעלת מנגנון דומה לזה של הבורטזומיב (וולקייד) אך קשירה חזקה יותר לפרוטאוזום | החמרה בתפקודי כליות, קוצר נשימה, אי ספיקת לב, יתר לחץ דם, התלקחות של זיהום הרפס, ירידה בספירות דם |
| פומלידומיד (Pomalidomide)(Imnovid) |
– תרופה מכוונת בעלת מנגנון דומה ללנידומיד (רבלימיד) | הגברת הנטייה לקרישי דם. נוירופתיה. ירידת ספירות דם . |
| איקסזומיב (נינלרו,Ixazomib ) |
תרופה מכוונת הניתנת בדרך הפה בעלת מנגנון דומה לבורטזומיב. | תופעות לוואי של דרכי העיכול (בחילה, שלשול, כאבי בטן), ירידה בספירות דם, התלקחות זיהום הרפס. |
| אלוטוזומאב (אמפיליסיטי, Elotuzumab) |
תרופה ביולוגית. נוגדן ספציפי כנגד תאי המיאלומה, הניתן בעירוי תוך ורידי. | אלרגיות, נטייה מוגברת לזיהומים. |
| דאראטומומב (דרזלקס, Daratumomab |
תרופה ביולוגית. נוגדן ספציפי כנגד תאי המיאלומה, הניתן בעירוי תוך ורידי. | אלרגיות. ירידה בספירות דם. |
טיפולים כימותרפיים |
||
| MP (Melphalan
מלפלאן (אלקראן) הוא כדור כימותרפי, קיים גם כתכשיר למתן תוך ורידי |
טיפול ותיק שהיה בשימוש נפוץ טרם עידן התרופות החדשות, היום ניתן לשלבו עם ולקייד או תרופות אחרות.,
סבילות טובה לטיפול אך שיעורי תגובה נמוכים יותר ביחס לתרופות המכוונות בצורת מתן תוך ורידי במינון גבוה משמש להשתלת מח עצם |
יכול לגרום נזק לתאי הגזע של מח העצם ולכן נהוג לעשות איסוף תאי מח עצם (תאי אב) לפני השימוש במלפאלן לקראת השתלת מח עצם .
התגובה מושגת באיטיות יחסית, לאחר מספר חודשים. |
| תרופות כימותרפיות (Cyclophosphamide) Doxorubicin ואחרים. |
לרוב ניתנות בתשלובות שונות עם התרופות הביולוגיות למיניהן, כחלק מפרוטוקול. VAD VCD MPR MPT VDTPACE וכו’ (כל אות מסמלת תרופה). במינונים נמוכים ניתנות כסיוע לפרוטוקול הבסיסי. במינונים הגבוהים ניתנות כטיפול בפני עצמו, כתרופה בודדת או תשלובת כימותרפית. | בחילות, שלשול, ירידת ספירות דם וסיכון לזיהומים.
במינון גבוה – נשירת שער |
| תרופות נוספות | ||
| תרופות ממשפחת הביספוספונטים: ארדיה / זומרה / בונפוס. |
Aredia או Zomera ניתנים בעירוי ו- Bonefos בבליעה דרך הפה). להקלה על הכאבים ולהקטנת קצב הרס העצמות. הטיפול יעיל למניעת פגיעה עתידית בעצמות ולכן מתווה לכל חולי המיאלומה, למעט חולים עם פגיעה כלייתית משמעותית או עששת בלתי מטופלת. מקובל להגביל את השימוש בביספוספונטים לתקופה של כשנתיים. | טיפול ממושך בביספוספונטים יכול לגרום נמק של עצמות הלסת, בעיקר לאחר פעולה כירורגית בחלל הפה (עקירה, השתלה, ניתוח חניכיים). לפרטים נוספים ראו כתבה מאת ד”ר נועם ירום. במקרים נדירים יכול גם לגרום לנזק בכליות. |
התרופות הנהוגות במיאלומה ומעמדן בסל הבריאות
| תרופות בשימוש במיאלומה | רישום ומעמד בסל הבריאות |
| סטרואידים: Dexamethasone, prednison |
ללא הגבלה |
| תלידומיד (Thalidomide) | לקו ראשון והלאה. |
| וולקייד (Bortezomib (Velcade | בקו ראשון והלאה. |
| רבלימיד Lenalidomide) Revlimid) | טיפול אחזקה לאחר השתלת מח עצם עצמית.
מתן בקו ראשון למטופלים שאינם מועמדים להשתלת מח עצם עצמית, כולל מתן בשילוב עם ולקייד (VRD). |
| קרפילזומיב (Kyprolis ,Carfilzomib) או פומלידומיד (Pomalidomide,, Imnovid) | למי שטופלו בוולקייד, תלידומיד ורבלימיד ומחלתם נשנתה (חזרה) או שלא הגיבו לטיפול. מטופל יכול לקבל אחת משתי התרופות אך לא את שתיהן.
(וכן, לשימוש בקו שני בתשלובת עם רבלימיד לחולים בסיכון גבוה*, ראו בהמשך) |
| רבלימיד בשילוב עם: איקסוזומיב, (נינלרו Ixazomib) אלטוזומאב (אמפיליסיטי, Elotuzumab) או קרפילזומיב (Kyprolis ,Carfilzomib) |
לשימוש בקו שני. ניתן לקבל מישלב של רבלימיד עם אחת משלוש התרופות: איקסוזומיב, אלטוזומאב או קרפילזונמיב,. |
| דאראטומומב (דרזלקס, Daratumomab) | לשימוש בקו שני בתשלובת עם רבלימיד (לנלידומיד) ודקסהמטאזון עבור חולים שמחלתם התקדמה לאחר טיפול קודם שכלל ולקייד / תלידומיד, אך לא כלל רבלימיד.
לשימוש בקו שני בתשלובת עם ולקייד (בורטזומיב) ודקסהמטאזון עבור חולים שמחלתם התקדמה לאחר טיפול קודם שכלל רבלימיד. לשימוש בקו רביעי לחולים אשר מיצו מבחינת סל התרופות והמגבלות הרפואיות, את הטיפול בתרופות ממשפחת מעכבי הפרוטאזום (ולקייד, קיפרוליס, נינלרו) וממשפחת התכשירים האימונומודולטוריים. הטיפול בתרופה בקו רביעי רלוונטי למי שלא טופל בתרופה זו עד כה בקווי הטיפול במחלתו. |
| מלפלאן (אלקראן, Melphalan) | ללא הגבלה |
| תרופות כימותרפיות (Cyclophosphamide) Doxorubicin בנדמוסטי ואחרים |
ללא הגבלה (למעט בנדמוסטין) |
| תרופות ממשפחת הביספוספונטים (ארדיה, זומרה, בונפוס) | ללא הגבלה |
| טיפולי שיניים משמרים כהכנה לטיפול בתרופות ממשפחת הביספוספונטים | מימון 50% מעלות הטיפול, על פי תעריף משרד הבריאות. |
| תרופת הרבלימיד הוכנסה לסל הבריאות בשנת 2010 כטיפול במיאלומה נפוצה, לאחר מאבק קשה שארך כשנתיים ואשר כלל עתירה לבג”ץ. משרד עורכי הדין אליעד שרגא ושות’ נרתם לסייע לנו בהתנדבות.
באותו מאבק זכינו לתמיכה של האיגוד הישראלי להמטולוגיה ועירויי דם ושל הקבוצה הישראלית למיאלומה. ראשי הקבוצה באותה עת, פרופ’ דינה בן יהודה וד”ר יזהר הרדן ז”ל, אף נכחו בדיון בבג”ץ והביעו את תמיכתם העזה במאבק החולים. |
מה בעתיד?
ההתקדמות המרשימה ביכולות הטיפול במיאלומה מתבססת על מחקרים רבים המבוצעים ברחבי העולם, המנסים לחשוף את הביולוגיה של המחלה ולגלות תרופות ושיטות טיפול חדשות. המחקרים הקליניים מתקיימים גם בישראל ובאמצעותם ניתנת לנו ההזדמנות לקבל טיפולים חדישים עוד לפני שאושרו ונרשמו.
מה צופן לנו העתיד הקרוב?
• טיפולים חדישים מתחום האימונותרפיה, המפעילים את מערכת החיסון של המטופל כנגד המיאלומה. תרופות המסייעות למערכת החיסון של המטופל לזהות ולתקוף את תאי המיאלומה על ידי כך שהן מבטלות את “מנגנוני ההתחמקות” של המיאלומה ממערכת החיסון. נוגדן הנקשר לחלבון ה-PD1 שלו ביטוי על פני תאי מערכת החיסון, מונע מ”החלבון המשתק” (PDL1) על פני תאי המיאלומה, את היכולת לשתק את מערכת החיסון וכך גורם להתעוררות תגובה חיסונית כנגד תאי המחלה.
• טיפול חדשני נוסף הינו אימונותרפיה תאית. משתמשים בתאים של המטופל שעברו במעבדה “חינוך מחדש” וכך גורמים להם לפעול נגד המיאלומה שלו (CAR-T). טכנולוגיה זו שלאחרונה הראתה תוצאות מבטיחות לטיפול בחולי לוקמיה (סרטן הדם), הראתה תוצאות ראשונות מעודדות גם למיאלומה.
טיפולים עתידניים אלו ואחרים מראים תוצאות ראשוניות מעודדות ויתכן שיובילו אותנו בעתיד אף לריפוי המחלה! יחד עם זאת, חשוב להדגיש כי אנו נמצאים בשלבי מחקר ראשוניים ודרושות עוד שנות מחקר קליני לפני שטיפולים אלו יוכנסו לטיפול השוטף. הטיפולים עלולים היות כרוכים גם בסיבוכים ובאמצעות המחקר אנחנו לומדים איך לתת אותם בבטחה ולמי מהמטופלים הם יכולים להתאים.
לצד הטיפולים
מידע שימושי נוסף, הרלוונטי לתקופת הטיפולים, תוכלו למצוא במדריך הדיגיטלי השלם לחיים עם מיאלומה. במדריך תמצאו כללי עשה ואל תעשה, התייחסות לנושאים כמו: חיסונים, טיפולי שיניים, נסיעות לחו”ל ועוד. לכניסה למדריך לחצו כאן.